Proteintech CASPASE 3 精选抗体:完美检测caspase 3前体及剪切体
1 什么是caspase 3?
caspase 3 基因(CASP 3)最初在人类Jurkat-T 淋巴细胞中被克隆出的, 该基因编码一个32 kDa 的半胱氨酸蛋白酶 CPP32, CPP32及其p20和p11重组体可以诱导 sf9 昆虫细胞发生凋亡。Caspase 3又被称为细胞凋亡的执行者, 以其具有剪切管家蛋白和DNA片段的功能, 被认为是参与凋亡途径的关键效应分子。
Caspase 3酶原上有四个酶切位点 Asp9、Asp28、Asp175和Asp181, 其中在 Asp175和 Asp181处切割产生 p20(1-175氨基酸)和 p11(181-277氨基酸)大小亚基,大亚基进一步在 Asp28出切割去掉N末端前肽,而Asp9处切割产生 p19大亚基,其与 Caspase 3酶原自身活化有关。

图为 caspase 3的剪切体及剪切位点示意图
2 Caspase 3与细胞凋亡之间的关系?
Caspase 家族是细胞凋亡过程中的关键元件,其激活与超常表达均引起细胞凋亡,因此又称死亡蛋白酶,可通过与众多蛋白因子的相互作用调控细胞凋亡。Caspase 3 处于凋亡有序级联反应的下游,是最重要的效应型 Caspase,是多种凋亡刺激信号传递的汇聚点,它的活化是凋亡进入不可逆阶段标志。正常状况下,胞质中的 Caspase 3无活性,以 Pro-caspase 3形式存在。当细胞接受凋亡刺激时,它会被剪切成 cleaved-caspase 3而激活,进而诱导细胞发生凋亡。

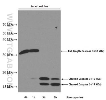
Proteintech的 caspase 3单抗(货号:66470-1-Ig)在没有经过凋亡刺激的样品中,只能检测到 32kDa 的 caspase 3,
而在受到凋亡刺激后,能够检测到 cleaved-caspase 3,包括有17 kDa和19 kDa的两个剪切体形式。
3 caspase 相关抗体
名称 |
货号 |
类型 |
应用 |
文献 |
Caspase 1 |
22915-1-AP |
PAb |
ELISA、WB、IF、IHC |
5 |
Caspase 2 |
10436-1-AP |
PAb |
ELISA、WB、IF |
一 |
caspase 2 |
24777-1-AP |
PAb |
ELISA, WB, IF |
一 |
Caspase 3 |
19677-1-AP |
PAb |
ELISA, WB, IHC |
143 |
Caspase 3 |
66470-1-Ig |
MAb |
ELISA、WB |
一 |
Caspase 4 |
11856-1-AP |
PAb |
ELISA、WB、IF、IHC |
1 |
Caspase 6 |
10198-1-AP |
PAb |
ELISA, WB, IHC |
2 |
caspase 7 |
27155-1-AP |
PAb |
ELISA, WB, IF |
1 |
Caspase 8 |
13423-1-AP |
PAb |
ELISA, WB, IHC, IP |
51 |
caspase 8 |
66093-1-Ig |
MAb |
ELISA, IF, IHC, IP, WB |
6 |
Caspase 9 |
10380-1-AP |
PAb |
ELISA、WB、IF、IHC、IP |
101 |
caspase 9 |
66169-1-Ig |
MAb |
ELISA, WB, IP, IHC, IF |
4 |
Caspase 10 |
14311-1-AP |
PAb |
ELISA、WB、IF、IHC、IP |
一 |
Caspase 12 |
55238-1-AP |
PAb |
ELISA、WB、IF、IHC、IP |
17 |

更多产品信息及规格,请咨询:
泽浩公司:Promega/BI/Stemcell/Proteintech/ACD/Peprotech/Wako/凯基/biogems/大龙/Active Motif/MCE/Beaver等产品-云南总代理
电话:0871-65100545、65100597
企业QQ在线订货: 4008700545



































